Cirugía Endovascular

La terapéutica endovascular consiste en la realización de procedimientos y maniobras vasculares endoluminales por medio de catéteres que se introducen en la luz vascular (espacio entre las paredes del vaso) para recanalizar vasos estenosados (obstruidos) u obliterados, lejanos o distantes al punto de entrada, y tambien para la resolución de aneurismas en cualquier localización (principalmente carótida intracraneal).

Contacto

Neurocirugía

Tenemos experiencia en el tratamiento de todos los tipos de enfermedades del cerebro y el sistema nervioso. Contáctanos por tu cuenta o con una derivación de tu médico, neurólogo o neurocirujano.

Contacto

Trabajo en equipo

Trabajamos con un equipo de médicos y subespecialistas en otras áreas como son neurólogos clínicos, neuroradiólogos, cuidados intensivos, medicina interna, neuro rehabilitadores, etc. para determinar el tratamiento más adecuado para tus necesidades particulares.

Contacto

Doctor Calificado

Certificado y Re-certificado por el Consejo Mexicano de Cirugía Neurológica y Miembro Activo de la Sociedad Mexicana de Cirugía Neurológica.

Atención a Emergencias

Ponemos especial atención a las necesidades de nuestros pacientes. Entendiendo, actuando y siendo una solución, no solo en acción, sino en asesoramiento en cada proceso médico.

Cirugías

Desarrollo explosivo y revolucionario de la tecnología endovascular con la invención y perfeccionamiento de muchos dispositivos de aplicación endoluminal.

Ventajas

La Cirugía Endovascular consigue la resolución de muchos casos de enfermedad vascular (estenosis, oclusiones, aneurismas, fístulas, etc.) con un simple abordaje percutáneo.

about
about
about
about

¿Por qué escogernos?

Conócenos

El doctor Rogelio Mendieta Alba es originario de Zacatecas, México. Completó sus estudios profesionales en la Universidad Juárez del Estado de Durango Facultad de Medicina. Gómez Palacio, Dgo. En cuyo examen profesional obtuvo Mención Honorífica. Obteniendo diversos premios como "Premio por residente distinguido 2004-2005", "Reconocimiento al estudiante de posgrado distinguido en el curso de especialización en Terapia Endovascular Neurológica año 2012" entre otros.

Manejo microquirúrgico de las MAVs cerebrales 19-26 julio 2003, Primer congreso sobre Stroke.”embolia y derrame” 17 y 18 de nov 2004 Facultad de Medicina UANL e Instituto Mexicano del Seguro Social, Hospital General de zona # 33. Coordinación de educación e investigación. Sesión general: “Tratamiento Endovascular de Estenosis Carotídea.

Actividades en congresos:

  • Primer congreso sobre Stroke 17 y 18 de nov 2004 Profesor-ponente
  • XI congreso de actualización médica 17 feb al 20 de sep 1998 Ponente
  • Tópicos selectos en Nutrición Enteral y Parenteral. Coordinador Adjunt
  • XVII congreso mexicano de cirugía neurológica 19 al 25 de julio 2003 Ponente
  • XX Congreso Mexicano de Cirugía Neurológica. Del 19 al 24 de julio 2009. Cancún, México. Asistente.
  • Entre muchos otros
Contacto

Procedimientos

client

Angioplastía

Carotídea

Se realiza mediante un abordaje de Seldinger convencional (a través de la arteria femoral en la ingle). Cuidadosamente navegamos por las arterias hasta llegar al sitio de la arteria Carótida con estenosis (estrechez). Utilizando unas pequeñas guías metálicas, atravesamos el sitio de la estenosis y posteriormente se utiliza un balón el cual se infla paulatinamente para restablecer el diámetro de la arteria, posteriormente se coloca un Stent autoexpandible (material metálico de forma cilíndrica o tubular que se coloca en la luz de la arteria para mantenerlo permeable. Al terminar la Angioplastía, realizamos controles cerebrales finales para valorar el restablecimiento del flujo sanguíneo cerebral.

client

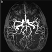
Angiografía

Espinal Diagnóstica

Es un procedimiento que nos permite realizar una valoración precisa de la angioarquitectura y función vascular de la médula espinal. Se utilizan catéteres muy delgados y especialmente curveados que permiten la adecuada navegación en los complejos vasos espinales Al igual que la angiografía cerebral puede realizarse solo con anestesia local, guiándonos con rayos X y medio de contraste

client

Angiografía

Cerebral Diagnóstica

Los motivos para realizar una angiografía cerebral diagnóstica son múltiples. Usualmente la realizamos a través de la arteria femoral, localizada en la ingle, utilizando pequeños tubos muy delgados y largos (catéteres) hasta las arterias del cuello, guiándonos por imágenes por rayos X. Desde las arterias del cuello se realizan proyecciones craneales observando de forma nítida las estructuras vasculares cerebrales, así como la información detallada del flujo sanguíneo cerebral. En la mayoría de los casos este procedimiento se realiza solo con anestesia local en el sitio de la punción en la ingle.

client

Tratamiento

del Vasoespasmo

Existen múltiples modalidades para el tratamiento del Vasoespasmo. Las principales formas del tratamiento endovascular son la Angioplastía Química, que consiste en la administración de medicamentos que contribuyan en la relajación de las capas de las arterias espasmadas.

client

Trombólisis Intraarterial

y Trombectomía

Cuando un paciente presenta una Enfermedad Vascular Cerebral isquémico (STROKE, ICTUS) es importante conocer con precisión el momento de instalación de la isquemia (también conocido como embolia). Cuando el paciente acude de forma rápida a un hospital y se cumplen los criterios y condiciones del tratamiento podemos iniciar una trombólisis intraarterial, lo cual consiste en la administración directa en el sitio del ¨taponamiento¨ de un medicamento que disuelve el trombo, logrando con ello una adecuada perfusión cerebral.

client

Embolización de Aneurismas

y Desviadores de Flujo

El propósito de este tratamiento es interrumpir el flujo sanguíneo hacia el aneurisma. La forma mas frecuente de realizarse es mediante la colocación de Coils de Platino (pequeños filamentos espirales) dentro del aneurisma, asegurando la pared del aneurisma y evitando una ruptura potencialmente fatal.

client

Embolización

de Tumores

Para la embolización de un tumor es necesario realizar un estudio diagnóstico en la misma sesión terapéutica para conocer de forma exacta lo siguiente:Las aferencias arteriales (es decir, las arterias que nutren al tumor). Definir el drenaje venoso, y descartar la posible compresión de las venas por el tumor. Conocer la anatomía arterial, que en estos casos suele estar deformada por el efecto de mas de los tumores, así como definir con claridad las posibles vías colaterales que pueden ayudar durante la planeación de un procedimiento quirúrgico.

client

Mediciones de

presión venosa

En algunos pacientes debido a su enfermedad, es necesario realizar una medición de la Presión Venosa Cerebral. Este procedimiento se lleva a cabo de igual forma en la sala de hemodinamia, con el paciente consciente y con la ayuda de anestesia local. En estos casos realizamos un abordaje por la vena femoral, utilizando unos catéteres especialmente diseñados, navegamos hasta alcanzar la vena a estudiar y posteriormente se conecta a un dispositivo externo que nos ayuda a realizar una medición exacta de la presión venosa.

client

Muestreo bilateral de

seno pretroso inferior

Este procedimiento se realiza como parte de las herramientas diagnósticas en el Síndrome de Cushing dependiente de hormona adrenocorticotrófica (ACTH). El cateterismo femoral bilateral nos ayuda a diferenciar de un origen hipofisario de la enfermedad del de una causa ectópica. También nos ayuda en la localización de Microadenomas, a menudo difíciles de detectar con los métodos de imagen convencionales.

client

Pruebas Funcionales

(prueba de Wada, oclusión con balón)

Como parte de la evaluación preoperatoria y transoperatoria, en ocasiones necesitamos realizar algunas pruebas que nos ayudan a definir la función de ciertas áreas cerebrales. La prueba de Wada se realiza con un como una angiografía convencional y a través de un catéter colocado en el vaso principal a estudiar, se inyecta un fármaco sedante, posteriormente realizamos pruebas clínicas, con lo que nos ayuda a definir la función real del segmento cerebral estudiado. En ocasiones requerimos realizar una prueba de oclusión con balón. Esto nos ayuda a definir con mas claridad la circulación colateral, así como a identificar a personas que se beneficiarían de una derivación vascular cerebral (puenteo, Bypass) antes de realizar una oclusión arterial permanente.

client

Embolización de Malformaciones

Arteriovenosas Cerebrales

El tratamiento de las malformaciones cerebrales depende de múltiples factores: Tamaño de la MAV, Localización, Tipos de arterias que alimentan a la MAV, Drenaje venoso de la lesión, Otros datos de la Angioarquitectura, Síntomas. El procedimiento se realiza con el paciente despierto, utilizando anestesia local y con un abordaje inguinal convencional.

Enfermedades

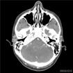
Enfermedad Vascular Cerebral

También llamado EVC, AVC, STROKE, ICTUS, se presenta en personas que presentan riesgo para que una arteria del cerebro se ocluya o bien presente ruptura, presentando una isquemia o hemorragia.

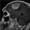
Aneurisma Cerebral

Un aneurisma cerebral consiste en una porción dilatada de las arterias cerebrales, producida por una debilidad en la pared del vaso. Estos pueden presentarse en cualquier sitio en las arterias cerebrales.

Hemorragia Subaracnoidea

La hemorragia subaracnoidea (HSA) es la presencia de sangrado agudo entre los surcos y cisuras del cerebro, estos se encuentran por fuera del parénquima cerebral pero por dentro de las capas que las recubren (aracnoides).

Malformaciones Arteriovenosas Cerebrales

Esta entidad es una patología compleja y heterogénea en donde existe una comunicación anormal entre las arterias y venas del cerebro, son congénitas aunque algunos autores han reportado de forma aislada algunas malformaciones arteriovenosas (MAV´s) que se forman después del nacimiento.

Fístulas Arteriovenosas y Durales

Esta patología es una entidad rara en donde existe una comunicación (puente) anormal entre una arteria y una vena. La etiología precisa no se conoce aunque se le ha relacionado con un traumatismo, infecciones o trombosis venosas.

Tumores

Existen tumores cerebrales que presentan un importante riego sanguíneo, durante un procedimiento quirúrgico este tipo de aferencia vascular puede complicar la resección y aumentar la morbilidad. Afortunadamente en muchos de estos tumores podemos realizar un ¨taponamiento¨ de esta alimentación arterial previo a la cirugía lo que disminuye considerablemente el riesgo quirúrgico. En algunos casos esta devascularización provoca una necrosis del tumor lo que puede disminuir el tamaño tumoral. En la mayoría de los casos este procedimiento lo realizamos como una importante herramienta preoperatoria, sin embargo, en algunos casos puede llegar a utilizarse como modalidad terapéutica única.

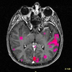
Trombosis de Senos Venosos

Esta entidad es una patología poco común y afecta parte del sistema de drenaje venoso del cerebro. Desafortunadamente el pronóstico de los pacientes sin un adecuado tratamiento no es bueno. Por este motivo la sospecha diagnóstica debe de ser oportuna para poder implementarse las mejores medidas terapéuticas. Esta enfermedad puede presentarse con síntomas como dolor de cabeza, náuseas y crisis convulsivas, o bien datos mas focales como parálisis de alguna extremidad o deterioro neurológico.

Enfermedad de Moya-Moya

Esta enfermedad fue originalmente descrita en Japón, debido a la imagen que se observa en la angiografía cerebral en forma de humo o niebla (en japonés moyamoya significa humo o niebla). Esta disposición de las arterias se debe a una oclusión progresiva de las arterias principales del cerebro, por lo que en un intento de mantener el flujo sanguíneo cerebral se forman están nuevas pequeñas arterias colaterales que en el estudio se observan como fumarolas de humo o niebla.

Malformación de Galeno

Esta rara enfermedad se presenta de forma congénita en algunos recién nacidos, consiste en una dilatación anormal de una de las venas principales del cerebro, esta dilatación provoca un ¨robo¨ del flujo sanguíneo provocando en el bebé alteraciones neurológicas y de la función cardiaca.

Epistaxis

La Epistaxis o sangrado nasal, es una patología muy frecuente. Afortunadamente en la mayoría de los casos es debida a lesiones locales, infecciones, alergias, etc. y pueden resolverse de una forma conservadora, en la mayoría de los casos con compresión nasal. Sin embargo, existen situaciones en las que el sangrado es profuso y que pone en riesgo la vida, por lo que a veces, es necesario realizar medidas de emergencia.

Retinoblastomas

Es un tipo de tumor que se origina en la infancia y aunque es un tumor de poca incidencia, es de suma importancia la detección temprana para el tratamiento oportuno. Para su manejo se requiere de un equipo multidisciplinario entre los que incluyen oftalmólogos, oncólogos, pediatras.

Malformaciones vasculares de la médula espinal

Las patologías vasculares pueden afectar cualquier parte del cerebro incluyendo la médula espinal. Pueden presentarse patologías como Malformaciones Arteriovenosas, fístulas AV, fístulas durales, angiomas etc. Es esencial realizar una angiografía medular para reconocer la estructura exacta de la patología y así poder definir el tipo de tratamiento.

Teléfono

811-9683-301

Celular

811-5172-677

Contáctanos

Por favor, envíanos un mensaje si necesitas una cita o tienes alguna pregunta, estamos para servirte.